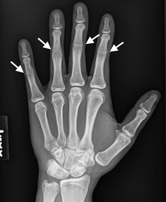
Bu adamın əlində orta oynaqlar YOXDUR - FOTO

Bu adamın əlində orta oynaqlar YOXDUR - FOTOBarmaqlarınızda orta oynaqlar olmadan özünüzü təsəvvür edə bilərsiniz? Həyatınızın nə dərəcədə çətinləşəcəyini anlatmağa ehtiyac yoxdur. Barmaqlar bükülmədən heç yazı yazmaq belə, mümkün deyil.

BiG.AZ xarici mətbuata istinadən xəbər verir ki, "JayFayad" ləqəbli "Reddit" istifadəçisi oynaqsız barmaqlarının fotosunu paylaşaraq keçirdiyi narahatlıqdan yazıb:

Bu adamın əlində orta oynaqlar YOXDUR - FOTO"Prinsipcə, hər şeyin öhdəsindən gələ bilirəm. Kompüterin "siçan"ını rahat işlətsəm də, qələmlə, yaxud klaviaturayla yazmaq çox çətin olur. Turşu bankalarını da asanlıqla açıram. Ən xoşagəlməz şey isə möhkəm tuta bilmədiyim qələmin əlimdən düşməsidir. Adi əli olan bir insanın nə hiss etdiyini bilmirəm, ona görə bu vəziyyət mənim üçün tamamilə normal görünür".

Bu adamın əlində orta oynaqlar YOXDUR - FOTOOğlan uşaqlıqda yaşadığı xoşagəlməz hadisəni də digər istifadəçilərlə paylaşıb:

"7 yaşımda beysbol oynayırdım və məşqçi çubuğu "normal" tutmağımı tələb edərək üstümə qışqırıb barmaqlarımı sıxdı. Çox ağrıtmışdı".

Bu adamın əlində orta oynaqlar YOXDUR - FOTOQeyd edək ki, sümük inkişafına təsir edən bu nadir irsi xəstəlik simfalangizm adlanır.

Natəvan Baxşiyeva


BiG.Az
Telegramda izləyin
Maraqlı   Baxılıb: 823   Tarix: 15 mart 2021  

Şikayətiniz varsa Whatsapp: 077 7125666

Facebookda Paylaş
Tezbazar.az elanlar sayti

Oxşar xəbərlər

.

Kirayə ev tapmaq üçün ən etibarlı üsullar

Kirayə ev tapmaq bəzən göründüyündən daha çətin prosesə çevrilə bilər, çünki bazarda çoxlu sayda elan və təklif mövcuddur. İnsanlar tez-tez münasib qiymət, yaxşı şərait və əlverişli məkan arasında balans qurmaqda çətinlik çəkirlər. Doğru qərar vermək üçün həm məlumatlı, həm də diqqətli olmaq vacibdir

12.12.2025 248
.

Bir il ərzində hər kəsi ələ keçirdi: Süni intellektin gizli təhlükəsi

Süni intellekt əsaslı söhbət robotlarının gündəlik dilimizə və onlayn mühitə təsiri o qədər güclənib ki, artıq özümüzün yazdığı mətnlərin belə "robot məhsulu" kimi qiymətləndirilib-qiymətləndirilməyəcəyi sual altındadır. xəbər verir ki, süni intellekt tərəfindən öyrədilən və formalaşdırıla

12.12.2025 357
.

Tezbazar.Az - Xidmətlər, təmir, tikinti və digər xidmət elanları

Pulsuz elanlar saytı -da təmir, tikinti və digər xidmətlərlə bağlı elanlar yerləşdirilir. Evini təmir etdirməyə hazırlaşanlar və tikintiyə başlamaq istəyənlərin diqqəti bizdə olsun!. Onlayn elanlar platforması olan xidmətinizdədir! Biz sizə hər məsələdə kömək etməyə hazırıq. Təmir və ya tikintiyə başlama

13.12.2025 677
.

Alimlər dünyada ilk dəfə "toxunula bilən" ekran yaratdılar

Kaliforniya Universitetinin (Santa-Barbara) alimləri təsviri göstərməklə yanaşı, ekranın səthində hiss olunan relyef formalaşdıra bilən eksperimental displey təqdim ediblər. Qaynarinfo xəbər verir ki, layihə haqqında məlumat "Science Robotics" jurnalında dərc olunub. Burada Yon Visselin rəhbərli

08.12.2025 400
.

Ən bahalı 10 Yeni il şam ağacı - SİYAHI

Amerikada ənənəvi bir şam ağacının qiyməti orta hesabla 30-150 ABŞ dolları arasında dəyişir. Lakin bəzən bəzi şəhər və müəssisələr Yeni il ağaclarını bəzəmək və nümayiş etdirmək üçün milyonlarla dollar xərcləyirlər. BİG.AZ -a istinadla qiyməti 1 milyon dollardan artıq olan bu 10 ağacı təqdim edir. 10

09.12.2025 611
.

Einşteyn haqlı çıxdı: Marsda zaman daha sürətlə keçir

Alimlər kəşf ediblər ki, Marsda zaman, Dünyaya nisbətən daha sürətlə keçir. xəbər verir ki, orta hesabla, hər 24 saatda Marsda saatlar 477 mikrosaniyə (saniyənin milyonda biri) daha sürətli işləyir. Bu fərq, Marsın Dünyadan zəif kütlə cazibəsinə malik olması ilə bağlıdır. Daha zəif cazibə zamanı sürətləndirir

14.12.2025 454
.

Turlar.AZ - Xarici Turlar

saytinda daxili turlarla yanaşı, xarici turlarla bağlı elanlar da gündəlik yenilənir. Sayta daxil olmaqla Türkiyə, Rusiya, Gürcüstan, İran, Ukrayna, Birləşmiş Ərəb Əmirlikləri, Maldiv adaları, Misir və digər məkanlara sərfəli xarici turlar əldə edə bilərsiniz!. Təbii ki, azərbaycanlı turistlər daha ço

16.12.2025 275
.

Şirəsini sıçratmadan narı dənələməyin asan yolu - Qaşıqla 1 dəqiqəyə

Narın təmizlənməsi çoxları üçün çətin və səliqəsiz bir iş olduğundan, bir çox insan bu meyvədən uzaq durur. Lakin sadə bir fənd sayəsində narı təmizləmək cəmi bir dəqiqə çəkir və ətraf tamamilə təmiz qalır. -ın xarici mediaya istinadla xəbərinə görə, bunun üçün yalnız iti bıçaq və adi metal qaşıq kifayətdir

07.12.2025 569
.

Xidmetler.az - Bütün Xidmətlər bir saytda

XİDMETLER.AZ saytinda sizi narahat edən hər məsələ ilə bağlı kömək almaq imkanınız var!. Gündəlik işlər üçün icraçı və ya daimi iş sifarişi axtaran, saytımızda tapar. Siz də qoşulun və lazım olan insanları tapın! Saytımız üzləşdiyiniz problemləri bir göz qırpımında həll edəcək. İstənilən usta axtarışın

09.12.2025 324
.

TOP MP3